変形性ひざ関節症
変形性ひざ関節症(OA)の疫学
変形性ひざ関節症は、膝の関節軟骨がすり減って炎症を起こす病気です。関節の変形や痛み、腫れなどの症状が現れます
- 1.有病率
- 日本では40歳以上の約4,000万人にX線所見上のOAが認められ、そのうち約1,000万人が症候性です(Yoshimura N, et al. 2009)。
- 2.性差
- 男性よりも女性が2倍罹患しやすく、特に閉経後女性ではホルモンバランスの変化が影響します。
- 3.加齢との関係
- **60歳以上女性の約50%**にOA所見が認められ、75歳以上では70%超に達します。
リスク因子:加齢、肥満、遺伝的要因、膝の外傷歴、アライメント不良(O脚やX脚)。 - 4.地域差
- 農作業など膝を酷使する職業では有病率が高い傾向があります。
変形性ひざ関節症の保存的治療
検査
- 立位膝正面を含むレントゲン検査、MRI検査を行います。
- 変形性ひざ関節症は進行性の関節疾患であり、早期の保存的治療が重要です。
- 当院では以下のアプローチで進行抑制と症状の軽減を図っています。
運動療法
(Exercise Therapy)
- 大腿四頭筋強化膝を支える筋肉を鍛え、関節の安定性を向上。
- 股関節・体幹トレーニング膝への負担を軽減。
- バランストレーニング転倒リスクの低減。
物理療法
(Physical Therapy)
- 温熱療法血流改善により痛みを緩和。
- 寒冷療法急性期の腫れや痛みの抑制。
- 電気刺激療法痛みの神経伝達を抑制。
- ※当院のリハビリスタッフが対応しています。
薬物療法
(Pharmacological Therapy)
- 内服薬NSAIDs、アセトアミノフェン。
- 外用薬湿布や軟膏。
- 関節内注射ヒアルロン酸、ステロイド。
再生医療
(Regenerative Medicine)
- 幹細胞治療を用いて、損傷した軟骨組織の修復を促進。
装具療法
(Orthotic Treatment)
- 膝装具(ブレース)で関節の安定性を向上。
- インソールで荷重のバランスを調整(オーダーメイド)。
- 札幌の森口義肢製作所が装具を担当(週1回火曜日)
生活指導
(Lifestyle Modification)
- 体重管理、和式生活から洋式生活への変更。
当院の手術治療におけるこだわり
1.ナビゲーションシステムによる正確な手術(TKA・UKA)
- 骨切り角度やインプラントの設置をリアルタイムで確認し、ズレのない手術を実現。
2.リハビリと術後フォローの徹底
- 手術後の機能回復を最大限に引き出すため、早期リハビリと定期的なフォローアップを実施。
3.旭川医大麻酔科の協力による痛みの軽減
- 全身麻酔と神経ブロック、カクテル注射で術後の痛みを最小限に。
変形性ひざ関節症に対する手術治療
- 変形性ひざ関節症は、進行すると日常生活に大きな支障をきたします。
-
当院では、病状や患者様のライフスタイルに合わせて、
人工ひざ関節全置換術(TKA)、
人工ひざ関節単顆置換術(UKA)、
高位脛骨骨切り術(HTO)を選択し、最適な治療を提供しています。
- 旭川医大麻酔科の協力のもとで手術を実施し、術後の痛みを最小限に抑えるために優れた痛みのコントロールを行っています。
術後の痛みのコントロールの重要性
- 整形外科手術では、術後の疼痛コントロールが術後成績を左右します。痛みが少ないことで、早期リハビリテーションが可能となり、関節の可動域や筋力回復が促進されます。
- 当院では以下の方法で、術後の痛みを軽減するための多角的なアプローチを行っています。
①全身麻酔
(全身の痛みや意識をコントロール)
②エコーを用いた大腿神経ブロック・坐骨神経ブロック
(手術部位の神経をブロックし、術後の痛みを軽減)
③関節周囲のカクテル注射
(アナペイン・ステロイドなどの鎮痛薬を使用し、炎症を抑制)
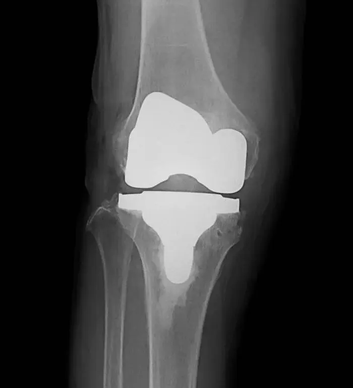
人工ひざ関節全置換術 TKA
- 手術の目的
関節全体の痛みを取り除き、歩行や階段昇降などの日常生活動作を改善
することを目的とします。
- 適応疾患
- 変形性ひざ関節症
- 関節リウマチ
- 外傷後の二次性変形ひざ関節症
-
参考文献:Insall JN, et al.
"TKA Outcomes with Navigation Assistance" J Bone Joint Surg Am. 2015;97(3):120–130.
- 手術の内容
コンピュータナビゲーションシステムを使用し、手術中にリアルタイムで骨切り角度やインプラント設置位置を確認。
- メリット
- 強い痛みの改善。
- 日常生活の動作が楽になる。
- 関節の安定性が向上し、歩行がスムーズに。
- リスク・合併症
- 感染(人工関節周囲感染)。
- 血栓塞栓症(深部静脈血栓症・肺塞栓症)。
- 人工関節のゆるみや摩耗(長期的リスク)。
- リハビリと術後の生活
- 術後翌日からリハビリ開始。
- ひざの腫れは3か月くらい続きます。
- 3~6か月で日常生活に復帰可能。
- スポーツ活動は軽いウォーキングやゴルフは可能ですが、 ランニングやジャンプ動作は推奨しません。
人工ひざ関節単顆置換術 UKA
- 手術の目的
内側または外側のいずれかに限局した関節の摩耗に対して、可能な限り健康な関節を温存しながら痛みを取り除き、日常生活を改善することを目的とします。
- 適応疾患
- 変形性膝関節症(主に内側型)
- 外傷後の関節片側損傷
-
参考文献:
Goodfellow J, et al.
“Outcomes of UKA in Medial Knee OA” Bone Joint J.
2016;98(2):120–128.
- 手術の内容
- 前十字靭帯(ACL)は温存され、関節本来の自然な動きが維持されます。
- 脛骨の骨切りでは、ナビゲーションシステムを用いて患者様個々の骨構造に合わせた最適な角度を調整し、インプラントの安定性を高めます。
- 当院の特色
- 脛骨の骨切りにナビゲーションを活用し、患者様ごとの骨形態に合わせて角度を微調整。
- 前十字靭帯を温存し、関節の自然な動きを維持。
- メリット
- 関節の自然な動きが維持される。
- 小切開手術のため、筋肉への侵襲が少なく、回復が早い。
- 脛骨の骨切りをナビゲーションで調整することで、患者さんのひざに合った角度が得られ、手術後の満足度が高い。
- リスク・合併症
- 関節内の他の部位の進行により再手術が必要となる可能性。
- 脛骨側の骨折(骨粗しょう症が強い方)
- インプラントのゆるみや脱臼(稀)。
- リハビリと術後の生活
- 術後翌日からリハビリ開始。
- 2~3か月で日常生活に復帰可能。
- 膝への負担を考慮し、ランニングやジャンプなどの高負荷スポーツは制限。
高位脛骨骨切り術 HTO
- 手術の目的
内側型の変形性膝関節症において、O脚などで内側に集中する荷重を外側へ移動させることで、膝の痛みを軽減し、関節を温存することを目的とします。
- 適応疾患
- 内側型変形性膝関節症(特に比較的若年で活動性が高い患者様)
- O脚が原因の膝関節内荷重の偏位
-
参考文献:
>Brouwer RW, et al.
"HTO for Medial Knee OA: Long-term Outcomes" J Bone Joint Surg Am. 2013;95(6):562–567.
- 手術の内容
- 脛骨(すねの骨)の上部内側に骨切りを加え、内側開大によって膝関節の傾きを調整。
- 内側開大型HTOを採用し、人工骨や金属プレートで安定化。
- 下肢アライメントの矯正目標として、FTA(膝外側角)を170度前後に調整。
- 負担が軽減されることで関節の進行を遅らせ、関節機能を温存。
- メリット
- 自分の関節を温存できる。
- 高齢になってからTKAへの移行が可能。
- 比較的若年者でも活動的な生活が継続可能。
- リスク・合併症
- 骨癒合遅延や骨折の可能性。
- 下肢アライメントの過矯正や不足による違和感。
- リハビリと術後の生活
- 術後数日から関節可動域(ROM)訓練を開始。
- 術後1週で1/3荷重(体重の3分の1の荷重をかける)を開始。
- 術後2週で1/2荷重を開始。
- 術後3週で全荷重を開始。
変形性股関節症(Hip Osteoarthritis)
股関節の軟骨が摩耗し、痛みや可動域制限を引き起こします。
- 病態
- 股関節軟骨の摩耗・消失。
- 骨棘形成や関節裂隙の狭小化。
- 疫学
- 40歳以上の5%に発症。
- 女性に多く、90%以上が先天性股関節脱臼や臼蓋形成不全を基礎疾患として持つ。
- 検査
- レントゲン検査が基本ですが、場合によってMRI、CT検査を行うことがあります。
- 治療法
- 保存的治療運動療法、NSAIDs、理学療法。
- 手術治療人工股関節全置換術(THA)。
- 当院では前方アプローチを採用し、術後の脱臼リスクを低減。
- 通常、2週間程度の入院が必要となります。
参考文献:Matsubara M, et al. J Orthop Sci. 2016;21(4):546–553.


